Kolica s monitorom koji prikazuje mikroskopski prikaz ljubičaste boje, dizajnirana za upotrebu u medicinskim laboratorijima.

Histolog skener

DIJAGNOSTIKA

Histolog skener - inovacija u dijagnostici i zdravstvenoj skrbi

Histolog skener - brža i preciznija dijagnoza

Histolog skener predstavlja najnoviju generaciju dijagnostičkih uređaja koji revolucioniraju područje digitalne patologije. Ovaj sofisticirani sustav omogućuje digitalno skeniranje uzoraka tkiva u visokoj rezoluciji, pružajući liječnicima uvid u detaljne slike histoloških preparata u stvarnom vremenu – bez potrebe za klasičnim mikroskopiranjem.

Za razliku od tradicionalnih metoda koje zahtijevaju danima trajnu obradu i analizu uzoraka, Histolog skener omogućuje brzu i preciznu dijagnozu u roku od nekoliko sati. Time se značajno skraćuje vrijeme čekanja na rezultate, što je osobito važno kod onkoloških i hitnih slučajeva kada je pravovremeno liječenje ključno za ishod.

Digital histology scanner displaying a magnified tissue sample on its screen.

Histolog skener - minimalna invazivnost i bolji oporavak

Jedna od najvećih prednosti koje nudi Histolog skener jest njegova minimalno invazivna priroda. Za razliku od tradicionalnih histoloških metoda koje često uključuju opsežnije kirurške zahvate za dobivanje i analizu uzorka, ovaj napredni dijagnostički sustav omogućuje preciznu obradu manjih uzoraka tkiva uz minimalnu nelagodu i rizik za pacijenta.

Korištenjem modernih tehnika uzimanja uzoraka i napredne digitalne obrade, Histolog skener značajno smanjuje potrebu za agresivnim intervencijama. Ovakav pristup predstavlja novi standard u dijagnostici, jer kombinira kliničku učinkovitost i sigurnost s izuzetnom udobnošću za pacijenta. Smanjenje potrebe za kirurškim biopsijama također doprinosi smanjenju bolničkih troškova i optimizaciji medicinskih resursa.

Kolica s uređajem za histologiju s postavljenim monitorom koji prikazuje mikroskopski uzorak u ljubičastim nijansama.

Histolog skener - povećana preciznost i sigurnost

Dijagnostička točnost je ključna za uspješan medicinski tretman. Histolog skener koristi naprednu tehnologiju koja povećava preciznost u analizi uzoraka tkiva, smanjujući mogućnost ljudskih pogrešaka i omogućujući ranije otkrivanje zdravstvenih problema. Ovo također doprinosi sigurnijim medicinskim postupcima i boljim ishodima liječenja, jer se problemi mogu dijagnosticirati u ranijoj fazi, čime se omogućuje pravovremeno i ciljanje liječenje.

Ključne prednosti Histolog skenera:

  • Brža dijagnoza: Smanjuje vrijeme čekanja na rezultate analize uzoraka, omogućujući bržu reakciju i donošenje odluka.
  • Veća preciznost: Napredna tehnologija omogućuje preciznu analizu uzoraka, smanjujući mogućnost grešaka u dijagnozi.
  • Minimiziranje invazivnosti: Smanjuje potrebu za većim kirurškim zahvatima, što pospješuje brži oporavak i smanjuje rizik od komplikacija.
  • Optimizacija liječenja: Omogućuje liječnicima da brže započnu s liječenjem temeljenim na točnim i pravovremenim podacima.
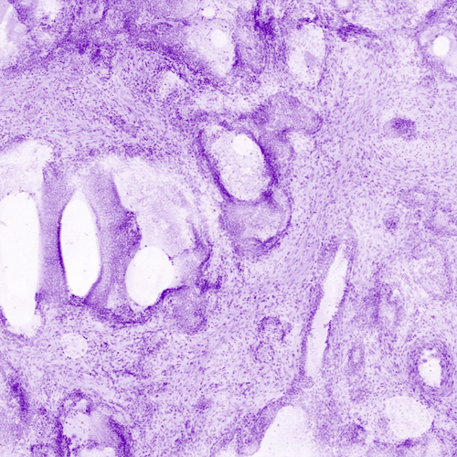
Mikroskopska slika tkivnog uzorka obojanog ljubičastim pigmentom, prikazuje strukturalne detalje stanica i međustaničnog prostora.
Skip to content